Study
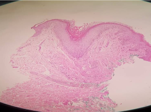
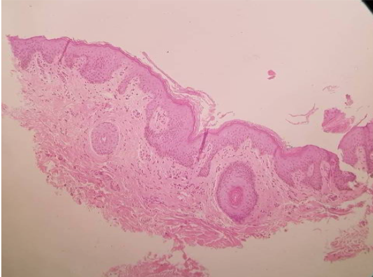
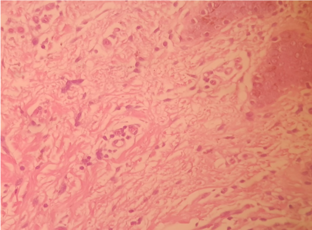
Histology of Biopsies of Labia Majora taken by punch on Patients treated by Endopeel
Alain Tenenbaum
Endopeel Inventor
Mauro Tiziani
Endopeel Co-Inventor
Juan Barcia
Anatomo Pathologist




